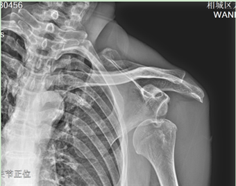
近日,喜欢锻炼的吴大爷去公园锻炼时不慎摔倒,习惯性用左手撑地,只听“咔哒”一声,左肩部疼痛剧烈,活动受限。吴大爷急忙来元和街道社区卫生服务中心中医馆就诊,一拍片发现,虽然没有骨折,但是左肩关节脱位了。
副主任中医师陆金男仔细查看伤情后,立即与主任中医师赵维杰协同对其行肩关节脱位手法复位。凭借丰富的临床经验,两位医生运用椅背复位法成功为吴大爷完成肩关节复位,吴大爷疼痛当即缓解,连声称赞两位医生医术高超,并竖起了大拇指。随后陆医生给吴大爷进行患肢固定,用绷带将左上肢悬吊固定于胸前。
陆金男指出,肩关节日常使用频率很高。随着年龄的增长,大多数老年人会出现不同程度的骨质疏松,不宜进行剧烈运动。喜好晨练的老年人一定要结合自身情况,合理选择锻炼方式,量力而行,切勿图一时之快而诱发意外。
他提醒,发生脱位后要及时做好固定,避免二次伤害。悬吊期间要注意保暖,避免受凉引起肩关节周围血管痉挛。治疗后要注意补充营养,多吃一些高蛋白食物。此外,还需要在医生的指导下进行适量康复锻炼,防止关节僵硬、肌肉萎缩。(葛阳)
织梦二维码生成器